子猫の猫伝染性腹膜炎(FIP)/ドライタイプ
- 平和の森AnimalClinic

- 2025年5月1日
- 読了時間: 3分
更新日:2025年6月22日
今回は猫さんの猫伝染性腹膜炎(FIP)の症例のご紹介です。
生後5ヶ月の子猫さんが、「1ヶ月ほど前から、元気食欲が落ちてきている」とのことで来院されました。
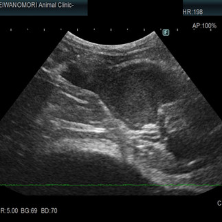
身体検査にて、発熱と腹部にシコリ(腫瘤)を触知しました。
その後、血液検査、腹部超音波検査、腹腔内の腫瘤の細胞診検査(FNA)、腫瘤から採取した細胞の猫コロナウイルス検査をさせて頂きました。


血液検査では、白血球の上昇、タンパク質(グロブリン)の上昇が認められました。
数日後、腫瘤から採取した細胞から「コロナウイルス陽性」の結果がでました。

猫コロナウイルスは、一般的に子猫さんに軽度の消化器症状(嘔吐や下痢)を引き起こすウイルスで、多くの猫が感染していると考えられています。
しかし、稀に感染したコロナウイルスが猫の体内で変異を起こし、猫伝染性腹膜炎(FIP)を引き起こす場合があります。
猫伝染性腹膜炎(FIP)はその症状から、ウェットタイプ、ドライタイプに分けられます。
ウェットタイプでは、腹水や胸水の貯留が特徴的となります。
ドライタイプでは、腹腔内に腫瘤(肉芽腫)の形成や、ぶどう膜炎、神経症状などを引き起こします。
また、どちらも発熱や元気食欲の低下を伴うことが多いです。
猫伝染性腹膜炎(FIP)の診断は、血液検査での異常、腹水や胸水、腫瘤からのコロナウイルスの検出となります。
治療は、コロナウイルスに対する抗ウイルス薬の使用となります。
治療を行わない場合、ほぼ100%の致死率と言われていますが、
ここ数年、治療の研究が進み、抗ウイルス薬を使用した場合では約80%の治療成功率が報告されています。
しかし、治療に使う抗ウイルス薬は日本では未認可の薬となるため、獣医師と飼い主さまの合意のもと、使用・治療となります。
また治療期間は約3ヶ月(12週間/84日)ほどかかります。
また、海外の正規品(薬代約40~80万)、海外のジェネリック品(薬代約10万)、人用のコロナウイルス治療薬(薬代約10万)など様々な薬があります。
今回の症例の子猫さんも、年齢や症状、腫瘤からのコロナウイルスの検出から、「猫伝染性腹膜炎・ドライタイプ」と診断しました。
治療やお薬についてご相談させていただき、治療を開始することとなりました。
治療開始後、元気食欲が改善してきました。
また治療1週間で腹腔内の腫瘤サイズは半分になり、2週間後にはさらに小さくなっていました。
経過良好のため、引き続き治療を継続していきます。



当院では、猫伝染性腹膜炎の治療についてのご相談も受け付けておりますので、電話またはLINEにて、ご相談ください。












